歯科衛生士求人のページ

はた歯科医院はメンテナンス業務が中心です。

 

「か強診」の認定を受け「SPT2」の算定が可能になり、大人の患者さんのメンテ間隔が短くなっています。また、「う蝕重症化の予防」として初期う蝕のある小児患者さんも毎月メンテに来ています。毎月のメンテナンス数が増えているので衛生士急募です!

はた歯科医院のコンセプトに賛同できる方、ぜひご応募ください!

 

「歯周病は感染症です」

これは、皆さんにとって当たり前の知識ですよね。では、どこで感染するんでしょうか?どうですか、ちょっと答えに詰まりませんか?いろいろな感染経路はあるでしょうけど、最大の感染源は「歯科医院」です!

血まみれのスケーリングをした超音波スケーラーの先端をアルコールワッテで拭いて次の患者さんに使ってるでしょ。間違いなく患者間の感染が成立しているはずです。その証拠に「出血を伴なう歯科治療をした方」は献血ができません!(日本赤十字社HP http://www.jrc.or.jp/donation/about/refrain/)厚労省はわかってるんですよ、このこと。

だ、か、ら、感染症対策を十分に行っている「か強診」認定の歯科医院では毎月メンテしてもイイってことなんです。(ほんとは「外来環」認定でOKなんだけどね)だって新たな感染を起こさないんだから、純粋に治療効果があるってことだよね。

逆に、3ヶ月に1度患者さんのために行っていたメンテナンスが患者さんを感染させているとしたら、まじめに通い続けるとどんどん悪くなっていくということだよね・・・考えるだけで恐ろしい。

 鶴見大学で行われた実験をご存知でしょうか?採血しながらスケーリングを行うと、スケーリング開始からわずか30秒で口腔内の細菌が腕から検出されます。ここで衛生士あるある。「歯垢(プラーク)は食べかすではなくて、バイキンのかたまりなんです」「悪い血なんで出しちゃってください」みなさん毎日言ってますよね。でもよく考えてみてくださいよ。血が出るってことは、血管が破けているんですよ。ってことはバイキンを自ら体内に入れていることになりませんか?スケーリングはおろかTBIにおいても「治療性菌血症」(私の造語w)を引き起こしているのが、皆さんが学校で習った「旧時代の治療」なんです。

 では「新時代の治療」とは何か?「新時代の治療」では出血させないことにこだわります。「殺菌水」を使用することで出血させずにバイオフィルムを破壊することが可能になります。「殺菌水」で洗浄を続けていくと、歯肉縁下歯石が縁上に出てきます。それから除去すれば痛みも出血もありません。

 さらにこの治療法のいいところは、治療結果が衛生士のスキルに依存しないこと!「旧時代の治療」においては、縁下歯石の除去はほとんどすべて衛生士のスキルに頼っているわけです。わかりやすく言うと「取れるDHには取れるけど、取れないDHには取れない」ということ。痛みや出血の程度もスキルによって大きく変わってきます。縁下歯石を取り残さないスーパーDHはいいけどね。ほとんどの人たちはそうはいかないわけですよ。するとどうなるか・・・。以前よりがんばって縁下歯石を取りに行きます。だって取らないと治らないって教わったもんね。でグイグイ縁下を攻める!出血するけど「治療のためだから仕方ない」って心の中で思うわけだよね。で、どうなるかっていうと皆さんよくご存知ですよね。患者さんがついてこない!無断キャンセル!「患者さんの意識が低い」って思い込みたいだろうけど、ほんとにそうですか?自分だったらどう思うだろうね。毎回血まみれにされて、治療後は痛み止めが必要で、しかもしみるわ腫れるわ・・・通い続けるのは意識の高い人じゃなくて、ただのドMだって。

 

 でも「新時代の治療」ならみんながラク!患者さんも気持ちいいし、DHだってやりがいがあるよね。治療の中断もないので院長もうれしい。

そろそろみんな気がつこうよ!今の歯周病治療をリードしてるのはみんな1970年代にアメリカやスウェーデンで勉強した先生たちなんだよ。今は西暦何年よ?歯科界全体にいえる事だけど、何十年も前の常識にとらわれてるから患者さんがついてこないんだって。もっと自分の頭で考えて、患者さんを笑顔にしなきゃだめよ。

 

 

せっかく「人のためになりたい」って思って衛生士になったんでしょ。でも現実はがんばればがんばるほど患者さんが離れていく・・・。これじゃやってられないよね。だから常識を疑ってみて!今は21世紀なんだよ。「新時代の治療」を実践してみて!みんなハッピーになれるから。

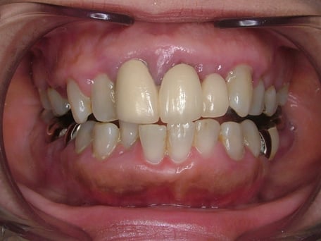
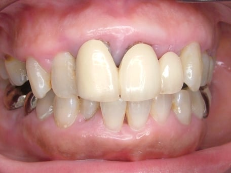
症例1 51歳男性 殺菌水のみ使用

術前

1年後


 いわゆるプラークコントロールはさほどよくありませんが、だいぶスッキリしてきました。殺菌水がバイオフィルムを破壊するので、悪玉菌の数が減って、善玉菌の数が増えていきます。口腔内細菌にとって歯面はイス取りゲームのイスです。善玉菌が取り付くと、悪玉菌の取り付く場所がなくなっていきます。

プラークの量ではなくて、質をコントロールするということです。来院間隔は1ヶ月に1回です。

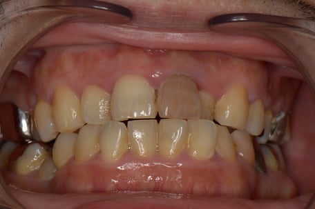
症例2 除菌治療併用の症例 76歳女性

術前

投薬後


 術前の状態でいきなりスケーリングをすると、そうとう出血するでしょうね。投薬すると縁下歯石が縁上に出てきますので、それをていねいに取っていきます。もちろん出血しませんし、しみることもほとんどありません。